Subject: August at Oaktree!

View this email online if it doesn't display correctly
Oaktree Connected
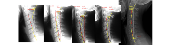
Dr. Emilie's Spine Makeover

“I had been seeing a chiropractor since I was a child - mostly for wellness! 

My mom knew it was good to take care of my spine and I liked going.. However, I didn't have xrays done until I was 14 (see first xray). The chiropractor explained my spine was going the wrong way. 

Unfortunately, despite getting adjusted, we never did anything specific to correct the shape of my spine. By then I had developed headaches, neck pain, back pain, even seasonal allergies. When I got adjusted it helped me feel better, but my problems always came back. 

Many years later I had a corrective care chiropractor take xrays. By then my spine looked worse and he started to help correct the actual shape of my spine. Now I no longer have the same pains, I am more mobile, healthy and able to be well! 

This is why I'm passionate about helping others get to the SOURCE of their problem and CORRECT it!” 
                                                                                                                                  -Dr. Emilie. 


Watch Dr Marie-Pier talk about her Spine Makeover here on Facebook!
CHOOSING THE RIGHT BACKPACK

It might feel like we’re in the middle of the summer, but it’s almost back to school season! That means getting everything your kiddos need for the new school year, which likely involves getting them a new backpack. If you are shopping, here are a few things to keep in mind:
  1. Choose the right size: the width of the backpack should be proportionate to the person’s width, and the height should extend from around one to two inches below the shoulders to waist level.
  2. Shoulder straps: look for wide and padded shoulder straps. These allow for weight to be distributed evenly without painfully cutting into your child’s chest or shoulders. You should also encourage them to tighten the straps so that the backpack rides up on their back rather than low on their bum. And for the sake of their spines, use both straps! And if they're willing, clip it in front. If you train them on this when they're young, they should stick with it :)
  3. Less is More: a filled backpack should only weigh 10-15% of your child’s body weight. Try to find a backpack that is just big enough to carry only what is necessary so that your child doesn’t cram unneeded items adding to the load. Compartments can also make it easier to evenly distribute the weight. Heavier items should be placed closest to the child’s back, while lighter items can be further away.
The spine is made up of 33 bones which can be compressed unnaturally if your child’s backpack is too heavy or worn incorrectly. This can create issues with posture that continue even after the backpack is no longer worn. If you have any questions about your child’s backpack, ask us! We’re always here to help :)
Infant Torticollis??
Have you ever noticed that your baby has a difficult time turning their head one way? Maybe they feed better on one side, or their head always falls to one side when they are sleeping?

Proper motion is critical to everyone, especially to a growing baby. There are two crucial things that will help your baby regain full motion of their head and neck: chiropractic adjustments and exercises at home.

Want to learn more? We created this AWESOME handout that explains what is infant torticollis, why it happens, and what you can do to help! Simply email us by replying to this newsletter and we would be happy to forward it to you!
The One Meditation Study You Need to Know - Jewelia Orlick 

Let's talk future-tripping! This happened to me just the other day while my sister & I were going for a walk. The lid on my coffee cup was leaking and as a result, stained my brand new white shirt. 

Being the clumsy individual that I am, the “of course this would happen to me” dialogue started running in and you better believe my mind went nuts. 

It won’t come out. This shirt is ruined. What a waste of money. Why do these things always happen to me? 

In my head, the relationship between this shirt and I was over. 
The truth? I hadn’t even tried to fix it yet. I was suffering from anticipatory anxiety. I got home, used one of those stain remover pens & it disappeared. That’s a whole lot of panic for NOTHING. But that’s what future-tripping is, right? It’s projecting a certain outcome on a situation that hasn’t even happened yet. It’s freaking out over a POSSIBILITY. Not even the real thing. [...]

What if x, y, z happens, what if this, what if that...it’s so easy to get caught up in possible disasters when an alternative is to take a deep breath. Interrupt our future-tripping. And just leave the future in the future. 

Even if you’re hit with the worst case scenario, you’ll deal with it when the time comes. If it’s not your current reality, there is no need to suffer twice.

This is way easier said than done. Trust me, I get it. BUT every time you sit (or lie) down to meditate, you’re helping these pain centres of your brain (in specific the amygdala) get stronger & more resilient. If the meditating monks can do it, so can you! "
Connect with us for more updates!
Share this newsletter:
LikeTwitterPinterestForward
Oaktree Health, 231 Lisgar St, Ottawa, Ontario K2P 0C5, Canada
You may unsubscribe or change your contact details at any time.